
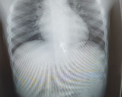
המפתח של יומן הכיתה שחיפשה הנערה מהמשפחה הירושלמית, נמצא לאחר צילום חזה בקיבה של בן המשפחה בן השבע.
המשפחה הגיעה למיון של יד שרה לאחר שעלה להם החשד שהאח בן השבע בלע את המפתח הדוקרני הקטן של היומן.
בצילום חזה, מצא רופא הילדים ד"ר חגי שטרן את המפתח הזעיר כשהוא בקיבתו של התינוק. היותו של המפתח משונן ודוקרני חייב פעילות פולשנית של הוצאת המפתח מחשש לסיכון ולקרע במעבר למעי, ובשל כך הועבר התינוק לחדר ניתוח בבית החולים.
ד"ר יואל גיל, המנהל הרפואי בחדר המיון "מרכז פרנקל לרפואה דחופה" ביד שרה שיבח את ערנותם של ההורים. "הסכנות לילדים בבית גדלות משמעותית במהלך ימי החופש הגדול. אנו מטפלים בכל יום במקרי חירום קשים בשל אותן סכנות. החשש של ההורים במקרה הזה התברר כמוצדק במיוחד. אסור להזניח ולסמוך על פעולה טבעית שעלולה לגרום לנזק ולסכנת חיים של ממש".









0 תגובות