
הצנובר התמים גרם כמעט למותו של פעוט כבן שנתיים מהגליל המערבי, שנותח השבוע לאחר ששאף לריאותיו צנובר, שגרם לדלקת ריאות ובסופו של דבר לקרע בקנה הנשימה.
הפעוט הובא על ידי הוריו לחדר המיון במרכז הרפואי לגליל בנהריה כשהוא מתקשה בנשימה. בבדיקות שנערכו לו התברר כי כשבוע לפני שהובא לבית החולים בלע הפעוט את הצנובר. בהמשך הוא פיתוח חום גבוה ושיעול, ואובחן על ידי הרופא במרפאה ביישובו כסובל מדלקת ריאות. למרות טיפול אנטיביוטי מצבו הלך והחמיר וההורים הופנו לחדר המיון.
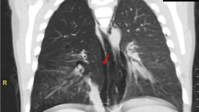
במהלך הבירור הראשוני, הועלה חשד גבוה לשאיפת גוף זר שהסתבכה וגרמה לקרע של קנה הנשימה. בבדיקת CT של החזה הודגם גוף זר חוסם, דליפה של אוויר אל מחוץ לדרכי הנשימה וכן, קרע של קנה הנשימה שנוצר עקב התהליך הדלקתי והימצאות הגוף הזר בריאותיו.

ד"ר מעיין גרובר, מומחה בכיר בתחום א.א.ג. בילדים במרכז הרפואי לגליל, מספר: "ברגע שאושרה האבחנה, הפעוט הובהל בדחיפות לחדר הניתוח על מנת להוציא את הגרעין וליטול דגימות מהתהליך הזיהומי בבית החזה.
"הניתוח בוצע כולו בגישה אנדוסקופית. הצנובר הספיק במהלך הזמן שהיה בגוף להתפורר למספר חלקים, וליצור תגובה דלקתית וזיהומית קשה. החלקיקים הוצאו בהצלחה, ללא צורך בפתיחה חיצונית של בית החזה".
במקביל לשליפת חלקי הצנובר, הכניס ד"ר דיויד קנז, כירורג בכיר במחלקה לרפואה דחופה, נקז חזה לשחרור האוויר שהצטבר בסמוך לריאה. לאחר הניתוח הפעוט הועבר מונשם ומורדם ליחידה לטיפול נמרץ בילדים. הפעוט התאושש בצורה מלאה ושוחרר לביתו לאחר מספר ימי השגחה. צילומי מעקב הראו החלמה מלאה של הנזק הריאתי, וסגירה של הקרע.
ד"ר גרובר אמר כי מדובר במקרה חריג בחומרתו. "לשמחתנו הפעוט שוחרר לביתו בבריאות שלמה בסיום טיפול מורכב. חשוב מאוד לחדד בפני ההורים את החשיבות של מניעת גישה לפיצוחים לילדים מתחת לגיל 5, מאחר ושאיפתם מסוכנת ביותר ואף עשויה לגרום למוות.
"בכל חשד לשאיפת גוף זר יש לפנות מיידית לחדר המיון הקרוב. המתנה עשויה לגרום להחמרה במצב הנשימתי, עד כדי קרע של דרכי נשימה ורקמת ריאה כפי שקרה במקרה הנוכחי", המליץ ד"ר גרובר






0 תגובות