

קשיש בן 85 הובא לחדר המיון במרכז הרפואי לגליל בנהריה וסיפר לצוות המטפל כי בלע מברשת שיניים, בעת שעסק בניקיון שאריות מזון שנותרו בין שיניו.
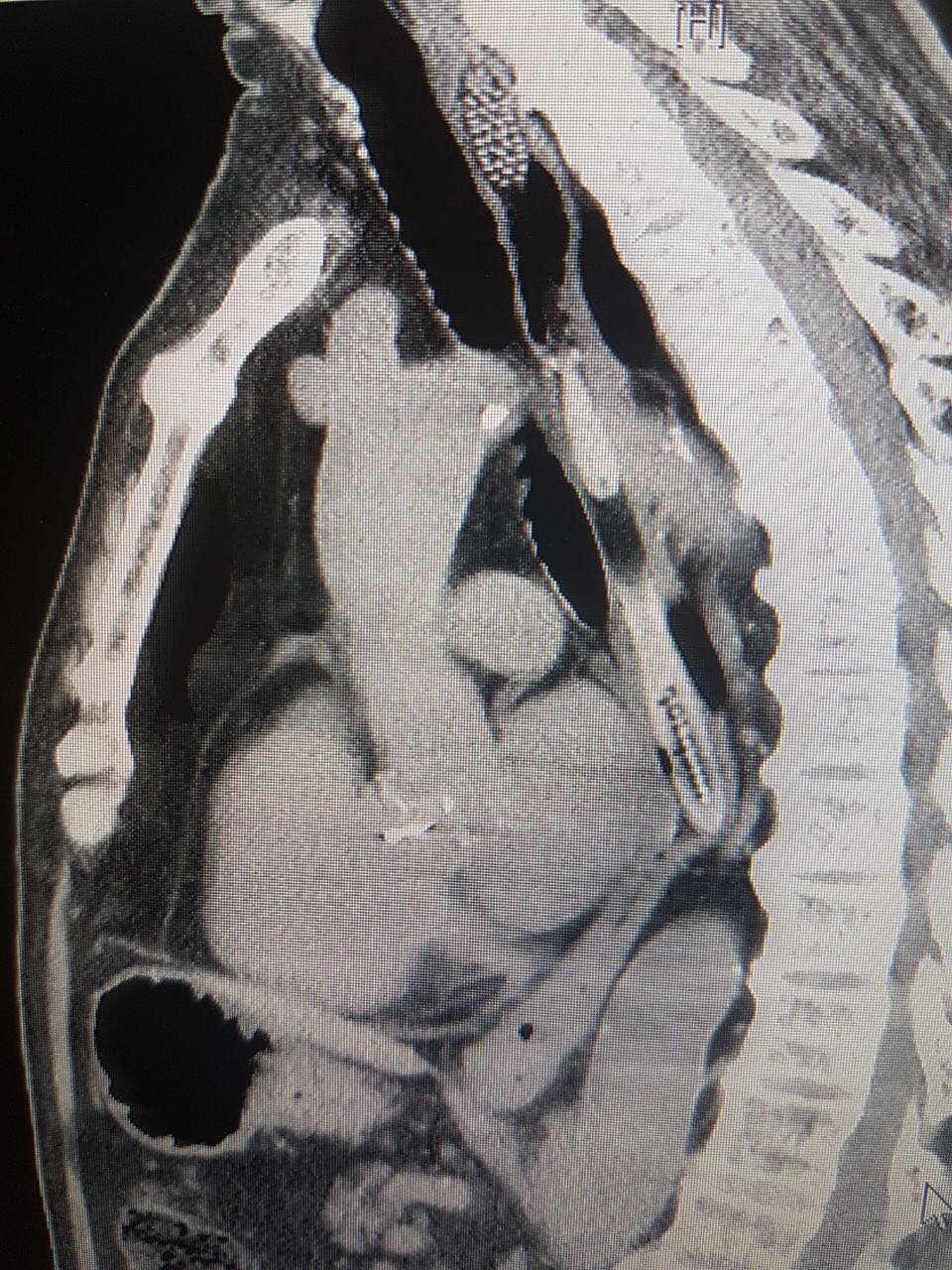
ד"ר רונית בר חיים, ממחלקה כירורגיה ב' שטיפלה בו בחדר המיון, הורתה על ביצוע בדיקת סי. טי. דחופה, בה ניתן היה להבחין בגוף זר שהתברר כמברשת השיניים, כשהיא תקועה בתוך לועו של הקשיש ולא ניתן היה להבחין בה עד לביצוע פעולות דימות.
תוך זמן קצר הועבר הקשיש לחדר ניתוח שם המתינו לו ד"ר אוהד רונן וד"ר אילי ליוס ממחלקת א.א.ג. ניתוחי ראש וצוואר במרכז הרפואי לגליל, שביצעו פעולה ניתוחית מהירה במהלכה נשלפה מברשת השיניים ללא שגרמה לנזקים או לסיבוכים במצבו הרפואי של הקשיש, שנותר להשגחה במחלקה ולאחריה שוחרר לביתו.
ד"ר אוהד רונן: "אנו מטפלים במאות מקרים במהלך כל השנה הקשורים בהוצאת גופים זרים החודרים לאף, לאוזן ולגרון. מדובר הן בתינוקות וילדים והן במבוגרים. המקרה הזה של בליעת מברשת שיניים, היה חריג ואני שמח שמענה מהיר איפשר לבצע את הפעולה הניתוחית בצורה מהירה ללא סיבוכים והקשיש חזר עד מהרה לאורח חייו השיגרתי בצורה מיטבית, ללא צורך בהחלמה ממושכת או באשפוז ארוך".








0 תגובות