
נס רפואי: מתנדבים מארגון 'איחוד הצלה' בעיר ביתר הוזעקו בשבוע האחרון בשל קבלת דיווח על מקרה של תינוקת שבלעה מסמר, כשהגיעו לבית גילו כי אב המשפחה הוא מתנדב מוכר בארגון.
המתנדב א.ר. מספר כי האירוע החל כאשר קיבל שיחת טלפון מרעייתו: "כשהיא מבוהלת, רעייתי סיפרה לי בתנו התינוקת בלעה מסמר ממשחק של אחד הילדים והיא מתקשה בנשימה".
"לא הייתי בעיר באותו זמן", הוא מוסיף, "אבל במקביל להדרכה שנתתי לרעייתי על מנת לטפל בתינוקת, תוך כדי השיחה הזעקתי במירס את חברי המתנדבים ב'איחוד הצלה ביתר' שהגיעו לבית במהירות".
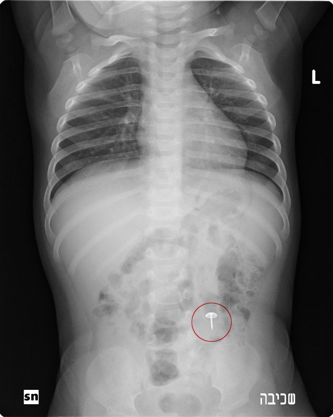
החובשים שהגיעו לבית לא הצליחו להוציא את המסמר שבלעה התינוקת, ופינו את הילדה להמשך טיפול בבית החולים הדסה עין כרם, שם התברר באמצעות צילום רנטגן כי המסמר נמצא עדיין בתוך גופה של התינוקת ונקבע לה מועד לניתוח על מנת להוציאו.
"כיוון שמדובר בתינוקת, היה חשש שכל תזוזה של המסמר עלול לפגוע באברים פנימיים ולכן הייתה חשיבות עליונה לבצע את הניתוח בהקדם, התאריך לביצוע הניתוח נקבע ליומיים לאחר שהגענו לבית החולים ובינתיים התינוקת נותרה בהשגחה", מספר אביה.
לדבריו, "בבוקר, כמה שעות לפני הניתוח, שוב נערך לילדה צילום רנטגן אלא שהצילום גילה כי המסמר איננו, לפני שהבנו מה קרה, התברר כי המסמר יצא זמן מה קודם לכן בצורה טבעית מבלי לגרום לגוף כל נזק".
"הרופאים שהיו במקום נדהמו ואמרו כי הם לא זוכרים מקרה דומה בעשרות שנותיהם ברפואת ילדים, הרופאים הודו שמדובר בנס משמים. אני מאמין שזכות התנדבותי להצלת חיים ומסירות חבריי עמדה לימין בתי שחייה ניצלו", הוא אומר לסיום.








0 תגובות