
נתונים מדאיגים מבית החולים 'אסותא': מאז יום שבת פונו ארבעה ילדים בנפרד וממשפחות שונות, כולם מאותה סיבה - בליעת עצמים זרים. הילדים סבלו מהקאות ואי שקט. בבדיקה שנערכה על ידי הצוות הרפואי התברר כי הילדים בלעו חפצים שונים: משחקים קטנים, שרשראות, מטבעות ומגנטים.
בית החולים מציין כי בשניים מהמקרים, נזקקו הילדים לניתוח חירום על מנת להוציא את החפצים מגופם.
באחד המקרים בילדה בת 7, התברר בצילום רנטגן כי בלעה חלקי משחק שנתקעו במעי, ובהוראת הרופאים הובהלה לניתוח. הניתוח התבצע הבוקר ועבר בהצלחה לשמחת ההורים והצוות הרפואי.


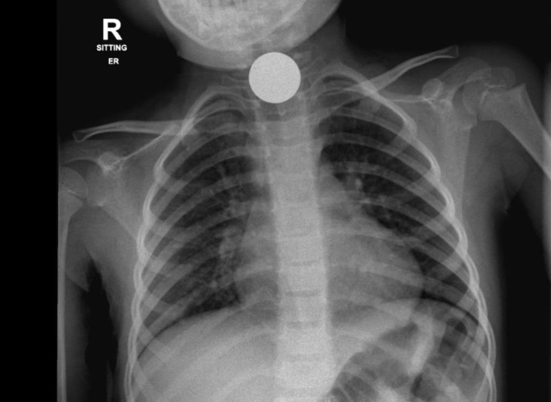
במקרה השני בילדה בת 4, בצילום נראה כי בלעה מטבעות כסף שנתקעו בוושט, באופן שדחק את קנה הנשימה והפריע לה לנשום בצורה תקינה, גם במקרה זה, לאחר התייעצות עם רופאים בכירים ומומחי אא"ג הוחלט כי על הילדה לעבור ניתוח על מנת להוציא את המטבעות מגופה. גם במקרה זה הפרוצדורה עברה בהצלחה. שני הילדות הושארו להשגחה רפואית במחלקת הילדים של בית החולים.

בדקנו: באיזו קופה תמתינו הכי פחות לרופאת נשים?


מנהלת היחידה לגסטרואנטרולוגיה ילדים ד"ר חני אוליבסטון שביצעה את אחד הניתוחים מסרה: "לצערי, בחודשים האחרונים, אנחנו רואים עלייה גדולה במספר הפניות לבתי החולים בעקבות משחק ובליעה של חלקי משחק מגנטים. עד כה, לאחר טיפול מתאים, הילדים יוצאים מבית החולים כשהם בריאים ושלמים. אבל, לנוכח התגברות המקרים האלה, אנו חוששים כי ניאלץ להתמודד עם מקרים קשים יותר. האם אני קוראת להורים שלא להכניס הביתה משחקי מגנט? התשובה היא, חד משמעית, כן ! ההגנה הטובה ביותר היא מניעה, ואסור לנו להמתין למקרה טראגי כדי להתעורר"
הד"ר שרון אבנת תמיר מסרה לאחר האירועים: "אני פונה לכל ההורים ומבקשת להזהירם: כאשר מדובר בילדים קטנים, כל דבר קטן שהם מכניסים לפיהם, יכול להישאף לריאות או להיבלע ולהיתקע בוושט. הרחיקו זאת מידיהם"

ד"ר נילי ינאי מסרה: "שאיפת גוף זר מסכנת חיים! ילדים קטנים לומדים את העולם ונוטים להכניס כל דבר לפה. עלינו ההורים לגלות ערנות ולמנוע משחק בחלקים קטנים שאינם תואמים לגילם. גם כאשר מדובר במזון, יכולת הלעיסה והבליעה של ילדים עד גיל 5 שנים אינה מפותחת כמו אצל מבוגרים ויש להם נטייה לשאוף לקנה הנשימה במקום לוושט. חשוב מאוד לשים לב לצורת המזון, למרקמו ולגודלו. תפקידנו, ההורים, לגלות ערנות ולמנוע את האסון הבא!"
צפו בסרטון של הפרוצדורה הרפואית שעברה אחת הילדות, כפי שצולם על ידי בית החולים אסותא אשדוד:









0 תגובות