

הרופאים נדהמו לגלות: המטופלת שהפחיתה 20 ק"ג ממשקלה תוך חודשיים, סבלה מגידול ענק של 11 ס"מ בכבד.
במרכז הרפואי גליל מתארים את סיפורה של שירלי סיסו, בת 44 מהיישוב שלומי בגליל, שהגיעה למרכז הרפואי עם כאבים עזים בבטן העליונה, כשהיא סובלת מבחילות ומהקאות לסירוגין.
"במשך חודשיים הורדתי כ-20 ק"ג ממשקלי, ולא ידעתי מה קורה לי. לא הייתי יכולה לישון בלילות מרוב כאבים. היו לי אינספור מקרים של התכווצויות ותחושת מלאות בבטן, וזה הגיע למצב שבקושי יכולתי לדבר", היא מספרת. "רק אחר כך הבנתי שבמשך שנים היה לי גידול, שהלך וגדל בממדים מפחידים. הרופאים אמרו שהוא 'ישב' על הקיבה, דחק את הסרעפת ולחץ על הטחול. במשך 20 שנה סבלתי מכאבים בקיבה. במהלך השנים, נבדקתי בקהילה, אבל לא הצליחו לגלות מה יש לי. רק כאן, במרכז הרפואי לגליל, הצליחו לעלות על הסיבה, ולמזלי הרב, הגעתי בזמן, לפני שיהיה מאוחר מדי. אפילו בפגישה שערכתי עם הרופא לפני הניתוח, כמעט התעלפתי מכאבים", מתארת הפציינטית.
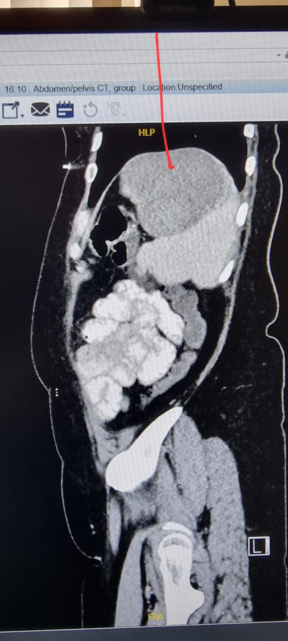
עם הגעתה למרכז הרפואי, ביצעה שירלי בדיקות שונות, ובהן: אולטרסאונד בטן וכליות, וצילומי C.T בטן ואגן, בהן התגלה באונה השמאלית של הכבד גידול שפיר, בגודל כ-11 ס"מ (!). בעקבות הממצאים, הוכנסה המטופלת לניתוח דחוף.
הניתוח בוצע בהובלת מנהל מחלקת כירורגיה א', ד"ר אלי קקיאשווילי, מחלוצי הרובוטיקה הכירורגית בישראל, ובמהלכו הוסרה האונה השמאלית של הכבד, יחד עם הגידול השפיר, בגישה זעיר פולשנית, ובעזרת רובוט דה וינצ'י.
הניתוח הסתיים בהצלחה, וכעבור אשפוז של שלושה ימים בלבד, שוחררה שירלי לביתה במצב טוב.
"מרבית ניתוחי הכבד בישראל מבוצעים בגישה פתוחה, באמצעות חתכים גדולים, עם סיבוכים פוטנציאלים ידועים, לטווח קצר וארוך. בנוסף, יש גם את ההיבט האסתטי, כאשר בגישה פתוחה, המנותח נשאר עם צלקת גדולה", מסביר ד"ר קקיאשווילי. "הניתוח בוצע בגישה רובוטית, שזו הטכנולוגיה המתקדמת ביותר בעולם. רובוט דה וינצ'י מאפשר דיוק מקסימלי ומפחית משמעותית את שיעור הדימומים במהלך הניתוח, עם זמן החלמה מינימלי ומבלי שיישארו צלקות משמעותיות בגוף".
כך נראתה ההדמיה שבוצעה בבית החולים והציגה את הגידול הענק.









0 תגובות